IGOR JAREŠ

Preciznost i Briga o Vašem Osmijehu

Igor Jareš – Doktor Dentalne Medicine

Predstavljam se kao dr. med. dent. Igor Jareš, MSc. oralne kirurgije i implantologije. Nakon završetka studija dentalne medicine u Zagrebu, profesionalni fokus usmjerio sam prema oralnoj kirurgiji, implantologiji i naprednim digitalnim tehnologijama u dentalnoj medicini. Trogodišnji poslijediplomski specijalistički studij završio sam 2023. godine u Austriji, gdje sam uspješno obranio i magistarski rad.

Posebno sam specijaliziran za imedijatnu implantologiju, full arch rehabilitacije, vođenu kirurgiju i koštane augmentacije. Svoje znanje i iskustvo svakodnevno primjenjujem u radu s pacijentima, s ciljem pružanja vrhunske skrbi i najsuvremenijih terapijskih rješenja.

Suvremena Stomatologija s Fokusom na Pacijenta

S dugogodišnjim iskustvom i stručnošću, dr. Igor Jareš nudi sveobuhvatne stomatološke usluge u ugodnom i profesionalnom okruženju. Njegov cilj je osigurati zdravlje i estetiku vaših zubi uz minimalan stres i maksimalnu preciznost. Bilo da se radi o preventivnim pregledima, restaurativnim zahvatima ili estetskoj stomatologiji, dr. Jareš koristi najsuvremenije tehnike i materijale kako bi vam pružio najbolju moguću njegu.

Specijalizacija

Dr. Igor Jareš pruža širok spektar stomatoloških usluga, koristeći suvremene metode i materijale kako bi osigurao zdravlje i estetiku vaših zubi. Bilo da vam je potrebna preventivna njega, restaurativni zahvati ili estetski tretmani, u našoj ordinaciji dobivate personalizirani pristup i vrhunsku skrb.

Digitalna stomatologija

Hijaluronski fileri

Opća stomatologija

Ortodoncija

Oralna kirurgija

Protetika

Implantologija

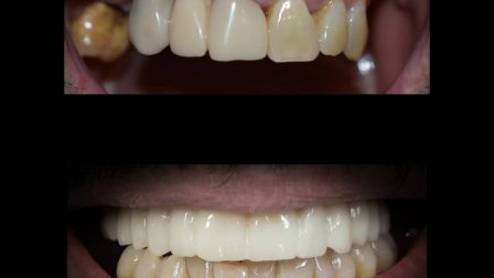
All-on-4 / All-on-6

O meni - Dr.Jareš

Zašto izabrati nas

Naša predanost kvaliteti, preciznosti i individualnom pristupu osigurava vrhunsku stomatološku skrb za svakog pacijenta.

20 Godina Iskustva u dentalnoj medicini

Dugogodišnja praksa i rad s pacijentima omogućili su preciznost i stručnost u svim stomatološkim zahvatima.

Specijalizacija iz oralne kirurgije

Složeniji zahvati, poput vađenja umnjaka, implantologije i rekonstrukcije kosti, obavljaju se sigurnim i modernim metodama.

Estetska i restaurativna stomatologija

Od izbjeljivanja zubi do keramičkih ljuskica i krunica – pružamo vrhunska rješenja za lijep i zdrav osmijeh.

Najmodernija tehnologija i materijali

Koristimo digitalnu dijagnostiku, 3D snimanje i visokokvalitetne materijale za dugotrajne rezultate.

Bezbolni i ugodni zahvati bez rizika

Suvremene tehnike anestezije i nježan pristup osiguravaju maksimalnu udobnost tijekom svakog tretmana.

Individualni pristup pacijentima

Svaki pacijent dobiva personalizirani plan liječenja prilagođen njegovim potrebama i željama.

Dr. Igor Jareš

Kontinuirano se usavršavam u područjima estetske stomatologije, implantologije i restaurativnih zahvata, prateći najnovije tehnologije i trendove u struci. Moja filozofija rada temelji se na kombinaciji preciznosti, pažnje prema detaljima i maksimalne posvećenosti svakom pacijentu. Bez obzira trebate li preventivni pregled, liječenje ili estetske korekcije, možete računati na stručnu njegu i suvremene metode koje će osigurati dugotrajno zdravlje vaših zubi i savršen osmijeh.